Clínica Odontológica
A Clínica
Localizada em Santo André – SP, a clínica oferece tratamentos de excelência, com foco em um atendimento humanizado. Nossa equipe cuida do seu sorriso com soluções personalizadas, unindo estética, funcionalidade e bem-estar. Cada paciente recebe atenção especial, em um ambiente acolhedor e profissional. No momento, não atendemos convênios, mas oferecemos condições de pagamento facilitadas para melhor atender às suas necessidades.
A Clínica
Localizada em Santo André – SP, a clínica oferece tratamentos de excelência, com foco em um atendimento humanizado. Nossa equipe cuida do seu sorriso com soluções personalizadas, unindo estética, funcionalidade e bem-estar. Cada paciente recebe atenção especial, em um ambiente acolhedor e profissional. No momento, não atendemos convênios, mas oferecemos condições de pagamento facilitadas para melhor atender às suas necessidades.
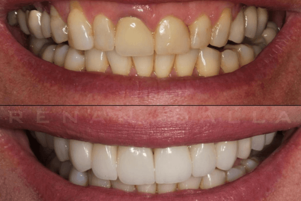
Tratamentos
Somos especialistas em transformar o seu sorriso com tecnologia e um atendimento humanizado.
Equipe
Profissionais dedicad0s ao seu bem-estar, unindo conhecimento, tecnologia e cuidado humanizado.
Dra. Danielle Marin
Cirurgiã-Dentista
CROSP 73.120
Dr. Renan Dalla
Cirurgião -Dentista
CROSP 66.353
Perguntas Frequentes
Tem alguma dúvida? Confira abaixo!
“Sorrisos são como pontes que unem corações.”

Onde Estamos
Rua Antônio Bastos, 123 - sala 68
Santo André - SP
Horário de Funcionamento
Segunda à Sexta: 08:00h às 18:00h
Fale Conosco
(11) 98989-2003
drsodontologia@yahoo.com.br
© 2024 Clínica Odontológica Marin & Dalla – Todos os direitos reservados | Desenvolvido e Otimizado por Agência Digital 360º | Política de Privacidade.